سبب ضيق الفك العلوي؛ عرض العلامات و طرق العلاج
فهرست مطالب
هل كنت تعلم أن مصّ الإصبع المفرط لدى الأطفال الصغار يمكن أن يؤدي إلى ضيق الفك العلوي؟
يُعدّ ضيق الفك العلوي أحد التشوهات الهيكلية الشائعة في طب الأسنان وتقويم الأسنان، ويمكن أن يبدأ منذ مرحلة الطفولة ويستمر حتى سن البلوغ.
تخيل طفلًا صغيرًا يتنفس من فمه أو يمص إصبعه، فيبدأ الفك العلوي لديه بالضيق تدريجيًا، مما لا يؤثر فقط على ابتسامته، بل قد يؤدي أيضًا إلى مشكلات تنفسية خطيرة مثل انقطاع النفس أثناء النوم.

فيما يلي سنشرح من أسباب ضيق الفك العلوي إلى العلامات الشائعة، وطرق التشخيص مثل التصوير الشعاعي، إضافةً إلى خيارات العلاج المختلفة من التقويم غير الجراحي مثل RPE إلى الجراحات المتقدمة مثل SARME.
إذا كانت لديك تساؤلات مثل: هل ضيق الفك العلوي وراثي؟ أو كيف أعرف أن فكي العلوي ضيق؟ فلا تقلق، اقرأ التوضيحات والتوصيات وطبّقها. اقرأ المزيد عن جراحة الفك في إيران على هذه الصفحة.
ما هو ضيق الفك العلوي بالضبط؟
يُطلق أخصائيو الفم والفك والوجه على هذه الحالة اسم النقص العرضي للفك العلوي، وهي حالة يكون فيها عرض الفك العلوي (المكسلا) أقل من المعدل الطبيعي.
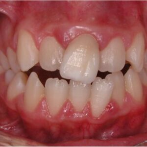
يؤدي ذلك إلى تضيق الحنك واتخاذ سقف الفم شكلًا مقوسًا، فلا تتطابق الأسنان العلوية بشكل صحيح مع الأسنان السفلية.

غالبًا ما تكون هذه الحالة مصحوبة بالعضّة المعكوسة (Crossbite) عند الأطفال، أي أن الأسنان الخلفية للفك العلوي تنمو داخل الفك السفلي، كما لو أن قطع أحجية لم توضع في مكانها الصحيح.
الفحص السريري للنقص العرضي للفك العلوي
من الناحية السريرية، قد تكون الحالة خفيفة وتسبب فقط تزاحمًا في الأسنان، أو قد تكون أكثر شدة وتصل إلى نقص في نمو منتصف الوجه، مما يجعل منطقة منتصف الوجه تبدو أضيق.
تشمل طرق العلاج الشائعة لهذا الاضطراب إجراءات مثل توسيع الحنك أو RPE، أي التوسيع التدريجي لعرض الفك بواسطة أجهزة تقويمية.
العلامة الأبرز وزيادة احتمال ضيق الفك عند الأطفال
إذا كان طفلك يُبقي فمه مفتوحًا باستمرار أو يعاني من الشخير الليلي، فقد تكون هذه من العلامات الأولى لضيق الفك العلوي لدى الأطفال.
في هذه الحالة، يجدر بك التحرك مبكرًا لتجنب تفاقم المشكلة.
أهم أسباب ضيق الفك العلوي
يُعدّ ضيق الفك العلوي نتيجة تداخل العوامل الوراثية والبيئية، إذ يتشكل أساسه منذ المرحلة الجنينية، لكن العادات الطفولية يمكن أن تزيد من شدته.
وفيما يلي أهم العوامل المسببة:
العوامل الوراثية والمشكلات الخلقية
العديد من حالات ضيق الفك العلوي ذات أصل وراثي.
إذا كان لدى أحد الوالدين أو الأقارب المقربين تاريخ من التشوهات الفكية مثل الشق الحنكي أو صِغَر الفك، فإن خطر إصابة الطفل بهذه الحالة يكون أكبر.

تشير الدراسات إلى أن الجينات المرتبطة بنمو عظم المكسلا تلعب الدور الأساسي؛ إذ تبلغ قابلية توريث عرض الفك العلوي في عمر 9 سنوات نحو 70%.
هل ضيق الفك العلوي وراثي؟ نعم، إلى حدٍ كبير، لكن البيئة أيضًا تؤثر.
فعلى سبيل المثال، في العائلات التي تعاني من أمراض تحسسية تنفسية، يكون الأمر أكثر شيوعًا لأن انسداد الأنف منذ الولادة يعيق نمو الفك.
العادات الطفولية مثل مصّ الإصبع والمصّاصة
من الأسباب الشائعة لضيق الفك العلوي عند الأطفال العادات الفموية مثل مصّ الإصبع أو استخدام المصّاصة لفترات طويلة.
هذه العادات تُحدث ضغطًا مستمرًا على الفك وتمنع النمو الطبيعي للحنك.
يؤدي استخدام المصّاصة أو مصّ الإصبع بعد عمر السنتين أو الثلاث سنوات إلى زيادة خطر ضيق الفك العلوي وتزاحم الأسنان بنسبة تصل إلى 40%.
لذا يُستحسن مراقبة هذا الأمر والوقاية منه مبكرًا.
كيف يؤدي المصّ إلى تشوه الفك؟
في هذه الحالة، يضغط الإبهام باستمرار على سقف الفم ويدفع الفك إلى الداخل.
ابدأ بمحاولة استبدال هذه العادة بألعاب عضٍّ خاصة من عمر 18 شهرًا، فذلك يصنع فرقًا حقيقيًا.
التنفس الفموي، الحساسية، وانسداد المجرى التنفسي مثل اللوزتين أو اللحميات
يرتبط التنفس الفموي ارتباطًا وثيقًا بضيق الفك العلوي.
فعندما لا يستطيع الطفل التنفس من أنفه بسبب الحساسية أو تضخم اللوزتين أو اللحميات الأنفية، تنخفض وضعية اللسان فلا يمارس الضغط الطبيعي اللازم لتوسيع الفك.
يؤدي هذا إلى انسداد المجرى التنفسي ويُبقي الفك في وضع ضيق.
وفي الحالات الشديدة، يجتمع تضخم اللوزتين مع ضيق الفك العلوي فيعتاد الطفل التنفس الفموي، ما يزيد من صِغَر الفك تدريجيًا.
الخبر الجيد أن استئصال اللوزتين في سن مبكرة يمكن أن يعكس هذا المسار.
إذا كان طفلك ينام وفمه مفتوح دائمًا، فقد يكون ذلك علامة على وجود لحمية أو ضيق في الفك العلوي.
الصدمات والرضوض في مرحلة الطفولة
احتمال حدوث ضيق الفك العلوي بعد الصدمة قليل جدًا، لكن تأثيره كبير جدًا عند حدوثه. السقوط أو الإصابة في الوجه أثناء الطفولة يمكن أن يعيق نمو العظام ويؤدي إلى عدم التناسق أو الضيق.
وفقًا للتقارير الطبية، الصدمات الطفيفة مثل السقوط من الدراجة، إذا لم تُعالج، قد تؤدي إلى عيب عرضي في الفك العلوي.
علامات التعرف وطرق تشخيص ضيق الفك العلوي
كيف نعرف أن الفك العلوي ضيق؟ علامات البداية غالبًا ما تكون دقيقة وصغيرة، لكنها تصبح أوضح مع مرور الوقت. أكثر علامات شيوعًا لضيق الفك العلوي هي:
- ازدحام الأسنان: الأسنان تتراكم فوق بعضها بسبب قلة المساحة
- عضّة معكوسة (كراس بايت): الأسنان الخلفية للفك العلوي تنتقل إلى الفك السفلي
- مشاكل في التنفس: الشخير الليلي، التنفس الدائم عن طريق الفم، حتى ارتباط ضيق الفك العلوي بانقطاع التنفس أثناء النوم
- مظهر الوجه الضيق: الوجه يبدو أضيق عند منطقة الخدين، أو يختبئ الابتسامة
لتشخيص ضيق الفك العلوي، يبدأ أخصائي تقويم الأسنان بالفحص السريري، وقياس عرض قوس الأسنان وتسجيل فحص العضّة.
بعد ذلك، يتم تأكيد التشخيص بواسطة الأشعة. الأشعة البانورامية (OPG) تُظهر عرض الفك، وCBCT تُنتج نموذجًا ثلاثي الأبعاد دقيقًا للعظام.
ارتباط ضيق الفك العلوي بالمشاكل السنية والوظيفية
عند مناقشة علاج ضيق الفك العلوي، لا نفكر فقط في استعادة الجمال، بل في غير ذلك قد يواجه الشخص مجموعة من المشاكل الوظيفية. على سبيل المثال، من الناحية السنية، العضّة المعكوسة وضيق الفك العلوي يؤديان إلى تآكل غير متساوٍ للأسنان وصعوبة في المضغ، وبالتالي اضطراب الهضم. علاج ازدحام الأسنان غالبًا يحتاج إلى التوسيع الأولي، لذلك تقويم الأسنان وحده لا يكفي.
أيضًا، ضيق الفك العلوي لدى البالغين يمكن أن يسبب صداعًا مزمنًا ومشاكل في مفصل الفك (TMJ). كلما بدأ العلاج مبكرًا، تقل العواقب السلبية.
طرق العلاج الجراحية وغير الجراحية لضيق الفك
أنواع طرق علاج ضيق الفك العلوي تختلف حسب العمر وشدة الحالة، والهدف زيادة عرض الفك من ۵ إلى ۱۰ ملم.
العلاجات غير الجراحية عن طريق تقويم الأسنان وRPE
للأطفال والمراهقين، التوسيع السريع للفك العلوي (Rapid Maxillary Expansion ، RPE) طريقة مناسبة. في هذا الأسلوب، يوضع جهاز معدني على سقف الفم ويقوم بالتحريك اليومي لتوسيع الفك.
من مزايا هذه الطريقة: ألم قليل، تكلفة مناسبة، ونتائج سريعة خلال ۳ إلى ۶ أشهر. فتح الفك العلوي بدون جراحة بواسطة RPE مثالي بين ۷ و۱۲ عامًا. غالبًا ما يُدمج التقويم مع RPE لضيق الفك العلوي ويحتوي على تقويم تقليدي أو قوالب شفافة.
العلاج الجراحي SARME
في ضيق الفك العلوي لدى البالغين، يقوم الجراح بقطع دروزات العظام في الفك العلوي، وفي هذه الحالة يحدث توسع دائم يصل إلى ۱۵ ملم، وتحسن في التنفس والجمال. معدل النجاح حوالي ۹۳.۸۷٪، لكن قد توجد مضاعفات من ۱ إلى ۵۰٪ مثل العدوى أو الألم.
الوقت المناسب للعلاج؛ الطفولة مقابل البلوغ
أفضل وقت لعلاج ضيق الفك العلوي قبل غلق الدروز المتوسط (۱۴ سنة للفتيات، ۱۶ سنة للأولاد). في الطفولة، يمكن الوقاية من ضيق الفك العلوي لدى الأطفال عبر التحكم في العادات والحساسية.
أما في البلوغ، يكون العلاج أكثر تعقيدًا. علاج ضيق الفك العلوي في طهران حقق نتائج ممتازة مع أخصائيين خبراء حتى الآن.
لهذه العملية الدقيقة والحساسة، حاول العثور على أفضل أخصائي تقويم للفك العلوي في طهران من خلال آراء المرضى. نحن نوصي بالدكتور شهاب الدين عزيزي، الذي يمتلك سجلًا متميزًا في هذا المجال.
أسئلتكم حول علاج ضيق الفك العلوي
أهم وأكثر الأسئلة شيوعًا حول هذا الموضوع أجاب عنها الدكتور شهاب الدين عزيزي، أخصائي الفك والوجه. إذا لم يكن سؤالك ضمن الأسئلة التالية، اتصل بنا وحدد موعدًا حضوريًا.
ما هو ضيق الفك العلوي؟
ضيق الفك العلوي هو حالة يقل فيها عرض الفك العلوي عن الطبيعي وقد يؤدي إلى عضّة معكوسة ومشاكل في التنفس.
ما الذي يسبب ضيق الفك العلوي؟
العوامل الرئيسية: الوراثة، مص الإصبع، التنفس عن طريق الفم، والصدمات.
هل مص الإصبع يسبب ضيق الفك؟
نعم، المص الطويل للأصبع يضغط على سقف الفم بشكل غير مناسب ويقلل عرض الفك.
هل ضيق الفك العلوي قابل للعلاج؟
نعم، يمكن تصحيحه تمامًا باستخدام RPE للأطفال أو SARME للبالغين.
ما هو أفضل سن لتوسيع الفك العلوي؟
۷ إلى ۱۲ سنة، قبل غلق الدروز المتوسط.
هل علاج ضيق الفك مؤلم أو يحتاج إلى جراحة؟
RPE يسبب ألمًا خفيفًا ويتم بدون جراحة؛ أما SARME يحتاج إلى جراحة، لكنه يعطي نتائج أكثر ديمومة.
إذا لاحظت أي علامات، راجع أخصائي تقويم الأسنان في أسرع وقت ممكن. هذه المعلومات مستندة إلى مصادر موثوقة، لكنها لا تغني عن الاستشارة الطبية. لمزيد من العلاج في طهران، راجع عيادة الدكتور شهاب الدين عزيزي.
الأسباب والعلامات وتشخيص الشذوذ بواسطة الدكتور شهاب الدين عزيزي
ما قرأته في هذا المقال هو الأسباب والتشخيص وأخيرًا أنواع طرق علاج ضيق الفك العلوي التي ينفذها الدكتور شهاب الدين عزيزي في العيادة. إذا لاحظت أيًا من العلامات المذكورة لدى طفلك، لا تتردد وابدأ الوقاية في أسرع وقت لمنع العواقب الوظيفية الثانوية. لحجز موعد، اضغط على صفحة الحجز الإلكتروني في موقع العيادة.