من الأفضل أن تعرف أن الشكل الذي يتكون في نهاية الجراحة قد يتأثر بالعناية بعد...
محمد بختیاری
مقالات للمؤلف
أولئك الذين يخضعون عملية الأنف من أجل الترميم، أو العلاج البنيوي، أو التجميل، قد لا...
تعتبر العناية اللاحقة خلال فترة النقاهة بعد جراحة الأنف من أهم المراحل. يلعب وضع لاصق...
إن سماع عبارات مثل الورم الخبيث أو السرطان في منطقة الوجه والفكين، يمكن أن يكون...
تحتوي هذه الصفحة على مجموعة من تعليقات مرضى الدكتور شهاب الدين عزيزي وعملاء عيادته الكرام....
التشوهات التي تظهر لدى الأطفال والمراهقين، والتي يتم تحديدها من خلال العلامات الظاهرية والاختبارات وتسبب...
في الماضي كنا نستطيع فقط وضع تخمينات بناءً على الخبرة وصور الأشعة، لكن اليوم غيّرت...
إن سماع كلمة ورم أمر مخيف لكل أب وأم، ولكن يجب أن نخبركم أن كلمة...
إن تخيل وضع قطع معدنية وبراغي في عظام الفك والوجه أثناء العملية الجراحية هو أمر...
يبدي الكثير من المرضى استغرابهم بعد الاستفاقة وقضاء الأيام الأولى، قائلين إن الألم بعد جراحة...
تعتبر طريقة النوم بعد جراحة الفك واحدة من أهم مخاوف المراجعين بعد الإفاقة، وسنشرح لكم...
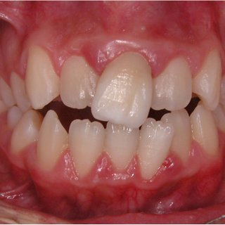
واحدة من النقاط المهمة التي من الأفضل أن يعرفها المرضى هي كيفية تفريش الأسنان بعد...
عند سماع كلمة شق في جراحة الفك، يتبادر إلى الذهن موضوعان مختلفان تماماً؛ الأول يتعلق...
في الجراحات التصحيحية أو ما يُعرف بجراحة تقويم الفكين، تُعد الصفائح المعدنية جزءاً لا يتجزأ...
تعتبر الطبعة الرقمية عبر المسح داخل الفم للوضع الحالي لفم المريض واحدة من أهم المراحل...
كما تعلمون، يحدث تورم وكدمات في منطقة الوجه وخاصة الشفاه بعد عملية الفك، وربما الخوف...
أحد أكبر المخاوف لدى مراجعي عيادتنا هو كيفية تناول الطعام بعد عملية جراحة الفك. لقد...
قد تعتقد أن عملنا ينتهي بمجرد إجراء جراحة الفك، ولكن دعني أخبرك بصفتي جراحاً تعامل...
أحد الأسئلة الأكثر تكرارًا، وربما الأكثر إثارة للقلق، التي يطرحها المراجعون في جلسات استشارة جراحة...
تُعدّ الكسور ثنائية الجانب في منطقة اللقمة (Condyle) أو تحت اللقمة (Subcondyle) للفك السفلي من...
إجراء جراحة الفك، سواء كان لأسباب علاجية ضرورية أو كجزء من جراحة تجميلية، يرتبط بعدة...