سبب بروز عظم الفك، التشخيص والعلاج

فهرست مطالب

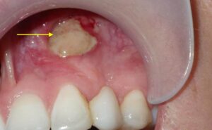
إذا شعرت ببروز شيء صلب أو أبيض من لثتك، فقد تشعر بالقلق. هذه الحالة، التي تسمى بروز عظم الفك، لها أسباب مختلفة، من بقاء قطعة من جذر السن گرفته تا نمو عظمي زائد أو عدوى. هنا، نستعرض خطوة بخطوة الأسباب، الأعراض، طرق التشخيص والعلاج لنوضح لك متى يجب عليك مراجعة الطبيب فورًا ومتى يمكن حل هذه المشاكل بالرعاية البسيطة.

في بعض الحالات، قد تحتاج إلى إجراء عملية جراحة الفك، وفي هذه الحالة سيتم ذكر هذا الإجراء في خطة العلاج الخاصة بك. إذا كنت تعاني من ألم، تورم أو إفرازات، اتصل الآن بعيادة الدكتور شهاب عزيزي للفحص، حتى يتم علاج الحالة الشاذة التي ظهرت في أسرع وقت ممكن.

ما هو بروز عظم الفك بالضبط؟

يحدث بروز عظم الفك عندما يصبح جزء من عظم الفك مرئيًا من تحت اللثة. يمكن أن يكون هذا قطعة صغيرة بيضاء أو صلبة قد اخترقت اللثة، وغالبًا ما تكون مرئية في منطقة الفم. في المصطلحات الطبية، تُعرف هذه الحالة باسم “إكزوستوسيس” (exostosis) أو “نتوءات الفك السفلي” (mandibular tori)، والتي تعتبر نموًا عظميًا غير طبيعي.

السبب الرئيسي لبروز عظم الفك
السبب الرئيسي لبروز عظم الفك

أحيانًا يتم الخلط بينها وبين “تقدم الفك” (prognathism)، ولكن الفرق هو أن تقدم الفك يؤدي إلى بروز الفك بأكمله إلى الأمام، بينما يكون بروز العظم عادةً داخل الفم وصغيرًا. تبدأ هذه المشكلة غالبًا بدون ألم، ولكن إذا كانت مصحوبة بعدوى أو التهاب في اللثة، فقد تسبب لك الإزعاج.

على سبيل المثال، في عيادتنا، عالجنا مرضى واجهوا هذه المشكلة بعد خلع السن وكانوا يعتقدون أنها ليست حالة خطيرة. ولكن يجب أن تعلم أنه إذا لم يتم فحصها مبكرًا، يمكن أن تؤدي إلى مشاكل أكبر مثل التهاب العظم (osteomyelitis). للتشخيص، عادةً ما يكون الفحص البسيط والأشعة السينية كافيين.

أسباب بروز عظم الفك

أعراض بروز عظم الفك متنوعة وتختلف حسب حالة المريض. للتشخيص الصحيح، من الأفضل إجراء فحوصات وتصوير شعاعي لدراسة نوع الحالة بدقة. في ما يلي، نستعرض الحالات المختلفة.

بعد خلع السن أو جراحة الفم

أحد الأسباب الأكثر شيوعًا هو ما يحدث بعد خلع السن، حيث إذا لم تتكون جلطة الدم بشكل صحيح أو بقيت قطعة من الجذر، يظهر عظم الفك. أحيانًا يؤدي ارتشاف عظم الفك (resorption) إلى انحسار اللثة وبروز العظم.

بروز عظم الفك بعد صرير الأسنان
بروز عظم الفك بعد صرير الأسنان

كان لدينا مريض يبلغ من العمر 45 عامًا برز عظمه بعد خلع ضرس بسبب وجود عدوى صغيرة. تم حل المشكلة بإزالة القطعة المتبقية والمضادات الحيوية. تشير الدراسات إلى أن هذه المشكلة تحدث في 10 إلى 20 بالمائة من حالات خلع الأسنان إذا لم تتم الرعاية الصحيحة.

نمو العظام غير الطبيعي  (Exostosis Tori)

النمو الزائد للعظم، الذي يسمى “إكزوستوسيس”، يمكن أن يسبب البروز، يحدث هذا النمو عادةً في الجزء الداخلي من الفك السفلي (mandibular) أو الفك العلوي ويكون غير مؤلم. أسبابه وراثية أو بسبب الضغط المستمر، ويُلاحظ غالبًا عند البالغين ولا يحتاج إلى علاج، إلا إذا تسبب في تمزق اللثة.

الصدمة أو الضغط المزمن (Bruxism)

الضربة على الفك أو صرير الأسنان (bruxism) يمكن أن تجعل العظم يتفاعل ويحدث بروز. الضغط المزمن يؤدي إلى تآكل اللثة وكشف العظم. للتحكم في ذلك، يوصى باستخدام واقي ليلي لصرير الأسنان.

العدوى أو أمراض العظام (Osteomyelitis / Osteonecrosis)

عدوى العظم (osteomyelitis) أو موت العظم (osteonecrosis) يمكن أن يسببا البروز. الأدوية مثل “البيسفوسفونات” (لهشاشة العظام) تزيد من الخطر.

كيف يمكن لنظافة الفم أن تمنع بروز عظم الفك بعد جراحة الأسنان؟
كيف يمكن لنظافة الفم أن تمنع بروز عظم الفك بعد جراحة الأسنان؟

تشمل العلامات التحذيرية الألم، التورم ورائحة الفم الكريهة. تشير الدراسات إلى أن هذه المشكلة أكثر شيوعًا لدى المرضى الذين تلقوا العلاج الإشعاعي.

ورم أو كيس

ورم أو كيس في الفك يمكن أن يؤدي إلى بروز العظم. هذه الحالات نادرة، ولكن إذا لاحظت تورمًا أو نموًا سريعًا، يجب إجراء خزعة للتأكد.

الأعراض والعلامات

قد يتمكن الشخص من التعرف على بعض الأعراض، ولكن اترك التشخيص الدقيق لنوع الحالة لطبيب متخصص في جراحة الفم والوجه والفكين. أعراض بروز عظم الفك عادةً ما تشمل ما يلي:

  • رؤية جزء أبيض اللون أو صلب تحت اللثة
  • ألم أو حساسية في المنطقة، خاصة عند تناول الطعام
  • تورم غير طبيعي أو التهاب في اللثة في منطقة معينة
  • نزيف أو صديد بجانب الأسنان
  • رائحة فم كريهة في معظم الأوقات
  • صعوبة في المضغ أو التحدث

إذا كانت لديك هذه الأعراض، راجع الطبيب بسرعة. في حالة وجود ألم أو إفرازات، اجعل مراجعة الطبيب من أولوياتك.

تشخيص بروز عظم الفك بواسطة الدكتور شهاب الدين عزيزي

عادةً عندما تشعر بالتغييرات، يتشكل في ذهنك قلق بعنوان “كيف يمكنني علاج بروز عظم الفك؟”. نوصيك بالحفاظ على هدوئك، كل ما عليك فعله هو اتباع العملية التالية:

الفحص السريري

يقوم الطبيب أولاً بفحص فمك ويطرح أسئلة حول تاريخك مع خلع الأسنان أو الضربات الشديدة.

الأشعة السينية البانورامية

تُظهر هذه الصورة الفم بأكمله وتكشف عن أي قطع متبقية أو نمو زائد.

CBCT أو التصوير المقطعي المحوسب ثلاثي الأبعاد

للحالات المعقدة، يوفر التصوير المقطعي ثلاثي الأبعاد تفاصيل أدق ويساعد في وضع خطة علاجية حتى الشفاء التام.

الخزعة في الحالات المشبوهة

إذا اشتبهنا في وجود ورم أو عدوى، نأخذ عينة ونقوم بتحليلها. في هذه الحالة، ستكون عملية العلاج مختلفة قليلاً وستدخل في مسار إزالة الورم.

طرق علاج بروز عظم الفك

قد يختلف مستوى اهتمام الأفراد بعلاج هذا النوع من الحالات الشاذة بناءً على تجاربنا في العيادة، لذا ادرس الطرق التالية لاختيار الطريقة الصحيحة:

العلاج التحفظي

للحالات البسيطة، تكفي نظافة الفم، مضادات الالتهاب أو المضادات الحيوية. على سبيل المثال، إذا لوحظت عدوى، يتم التحكم فيها بالأدوية التي يصفها الطبيب.

إزالة العظم الزائد

إذا كان هناك نمو زائد، يتم إزالة العظم تحت التخدير الموضعي. ستستغرق فترة النقاهة من 7 إلى 14 يومًا أو أسبوعين، وتوقع بعض الألم.

ترقيع العظام وإعادة بنائه

في حالات تآكل العظم أو نخر العظم، يكون ترقيع العظام ضروريًا لإعادة بناء الفك. للحصول على مزيد من المعلومات حول ترقيع عظم الفك وإعادة بناء هذه المنطقة، يمكنك زيارة هذه الصفحة.

العلاجات التكميلية

عادةً ما يتم استخدام الليزر لتقليل الالتهاب أو العلاج الطبيعي للفك للحالات المتعلقة بصرير الأسنان (bruxism).

الوقاية والرعاية بعد العلاج

للوقاية، حافظ على نظافة اللثة بعد خلع السن وتجنب التدخين. استخدام واقي ليلي لصرير الأسنان يساعد. الزيارات المنتظمة لطبيب الأسنان هي الجزء الأهم. نظافة الفم، التي تعتبر أسهل شيء، لها أكبر تأثير في منع هذه الحالة.

طرق علاج بروز عظم الفك في عيادة الدكتور شهاب الدين عزيزي
طرق علاج بروز عظم الفك في عيادة الدكتور شهاب الدين عزيزي

أسئلتكم حول بروز عظم الفك

لماذا يظهر عظم الفك من لثتي؟ قد يكون ذلك بسبب بقاء جذر، عدوى أو نمو زائد. يمكن معرفة السبب بالفحص الدقيق.

هل بروز عظم الفك خطير؟ غالبًا لا، ولكن إذا كان مصحوبًا بألم أو تورم، فقد يكون عدوى ويجب فحصه.

متى يجب أن أذهب إلى الطبيب؟ إذا لاحظت ألمًا، إفرازات أو تورمًا، راجع الطبيب فورًا.

هل هذه الحالة مؤلمة؟ أحيانًا تكون مؤلمة، ولكنها غالبًا ما تظهر بدون أعراض، وهذا هو الجزء الأكثر خطورة في هذه العملية؛ أي التشخيص في الوقت المناسب.

هل يمكن علاجه بالأدوية أم يتطلب جراحة؟ الحالات البسيطة تعالج بالأدوية، ولكن النمو الزائد قد يتطلب جراحة.

ما هي أنواع التصوير المستخدمة للتشخيص؟ الأشعة السينية البانورامية أو CBCT.

هل يمكن أن يحدث هذا بعد زراعة الأسنان؟ نعم، إذا كانت هناك عدوى، ولكنه نادر الحدوث مع الرعاية الجيدة.

ما علاقة البيسفوسفونات بهذا الموضوع؟ هذه الأدوية تزيد من خطر نخر العظم. تأكد من مناقشة هذا الموضوع مع جراح الفم والفكين المتخصص.

كيف نمنع البروز بعد خلع السن؟ يمكنك منعه بنظافة الفم الجيدة، عدم التدخين والزيارات المنتظمة.

الدكتور شهاب الدين عزيزي

الدكتور شهاب عزيزي، جراح الفم والوجه والفكين: “في الحالات التي يبقى فيها الجذر، من الضروري إزالته بسرعة لمنع انتشار العدوى، وإلا فقد تكون عملية العلاج أكثر تعقيدًا.”

علاج بروز عظم الفك في عيادة الدكتور عزيزي

بروز عظم الفك مشكلة يمكن حلها بسهولة بالتشخيص المبكر. نوصي بعدم التأخير إذا لاحظت أي أعراض.
للحصول على فحص متخصص وتصوير مقطعي محوسب في عيادة الدكتور شهاب الدين عزيزي، احجز موعدًا عبر الإنترنت أو اتصل بنا. الدكتور شهاب عزيزي، استشاري جراحة الفم والوجه والفكين مع سنوات من الخبرة في طهران.

أنا الدكتور شهاب الدين عزيزي، جراح الوجه والفكين، لدي سنوات من الخبرة والخبرة المتقدمة، وأعمل في مجال جراحات الوجه والفكين التجميلية والترميمية. أنا خريج الدورة العامة من جامعة شيراز للعلوم الطبية، وزمالة الليزر من جامعة جنوة، إيطاليا، ولدي أيضًا مجلس متخصص من جامعة الشهيد بهشتي.

مشاركة

اترك تعليقاً

لن يتم نشر عنوان بريدك الإلكتروني. الحقول الإلزامية مشار إليها بـ *