أسباب بروز بروز الفك العلوي؛ التشخيص والجذور وطرق العلاج
فهرست مطالب
إنّ انحراف الفكّ أو تموضعه غير الصحيح قد يتّخذ أشكالًا مختلفة، وسنركّز هنا على بروز الفكّ العلوي، والذي يُعرف في الطبّ باسم الأورجت (Overjet). هذه الحالة لا تؤثّر فقط على جمال ملامح الوجه، بل يمكن أن تُحدث خللًا في عملية المضغ، والتنفس، وتناول الطعام.

تم إعداد هذا المقال تحت الإشراف العلمي للدكتور شهاب الدين عزيزي، اختصاصي جراحة الفكّ والوجه والتجميل، وسنستعرض فيه بالتفصيل الأسباب، والمضاعفات، وطرق العلاج الممكنة لهذه الحالة.
ما هو الأورجت أو بروز الفكّ العلوي؟ (تشخيص سوء الإطباق من النوع الثاني)
قد يظنّ البعض عند سماع مصطلح “بروز الفكّ العلوي” أنّ المشكلة تقتصر على الأسنان الأمامية فقط، لكن الحقيقة أنّ السبب الرئيس هو تقدّم عظم الفكّ العلوي نفسه، ما يجعل الأسنان تخرج من موضعها الطبيعي وقد تتقوّس أحيانًا. أي أنّ المشكلة هيكلية بالدرجة الأولى.

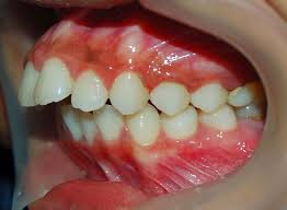
مصطلح الأورجت (Overjet) هو تعبير علمي يصف الحالة التي تكون فيها الأسنان الأمامية للفكّ العلوي (المَكسيلا) متقدّمة أفقيًا على الأسنان الأمامية للفكّ السفلي (المَنديبول).
الحالة المثالية أو الطبيعية هي أن يكون الفرق الأفقي بين الأسنان العلوية والسفلية حوالي1 إلى 2 ملم، وأي زيادة على ذلك تُعتبر حالة أورجت.
ما هو سوء الإطباق؟ وما علاقته ببروز الأسنان العلوية؟
في مجال تقويم الأسنان وجراحة الفك، يُطلق على عدم التطابق الطبيعي بين الفكين مصطلح سوء الإطباق من النوع الثاني (Class II Malocclusion). وإذا وجدت هذا المصطلح في ملفك الطبي، فهذا يعني أنّ هناك خللًا في تناسق الفكين لا يمكن تصحيحه بمجرد تحريك الأسنان، بل يحتاج إلى معالجة أعمق.
الأسباب الرئيسة لبروز الفكّ العلوي
إذا كنت تتساءل: لماذا ينمو الفكّ العلوي عند بعض الأشخاص بشكلٍ مفرط أو يظهر متقدّمًا؟ فالجواب أنّ الأسباب متعددة، وسنستعرضها مع توضيح العلاج المناسب لكلّ حالة.
العوامل الوراثية والجينية
في كثير من الحالات، يكون السبب وراثيًا، إذ تلعب الجينات (DNA) الدور الأكبر في تحديد شكل وحجم وموقع الفكين. إذا كان أحد والديك أو أقاربك من الدرجة الأولى يعاني من سوء إطباق من النوع الثاني، فاحتمال انتقال هذا الخلل إليك يكون أعلى.
عادات الطفولة (العوامل البيئية)
الفكّان في مرحلة الطفولة يتمتّعان بمرونة عالية جدًا، والعادات الخاطئة في تلك المرحلة قد تؤثر مباشرة على نمو عظام الوجه، مثل ضغط الأسنان على بعضها أو العادات التالية:
هل مصّ الإبهام يسبب بروز الفكّ؟ نعم، فالمصّ المتكرر أو المفرط للإبهام أو استخدام اللهاية لفترة طويلة بعد سنّ الطفولة قد يدفع الفكّ العلوي إلى الأمام ويجعله أضيق. كذلك، بعض السلوكيات مثل دفع اللسان خلف الأسنان الأمامية (Tongue Thrusting) يمكن أن تسهم في ظهور حالة الأورجت.

الاختلالات الهيكلية؛ الأسباب التي تستدعي الجراحة
عندما يكون شكل عظام الوجه والفكين غير متناسق لأسباب هيكلية، ينبغي علاج المشكلة لأنها قد تؤدي إلى اضطرابات أخرى كما سنرى:
فرط نمو الفكّ العلوي (Maxillary Excess)
في بعض الحالات، تكمن المشكلة في النمو المفرط للفكّ العلوي الذي يتقدّم على بقية ملامح الوجه بشكلٍ غير متناسب.
تراجع الفكّ السفلي (Mandibular Deficiency)
أحيانًا يكون حجم الفكّ العلوي طبيعيًا، لكن تراجع الفكّ السفلي هو الذي يجعل الفكّ العلوي يبدو متقدّمًا. تشخيص هذه الحالة يتم فقط من قبل اختصاصي جراحة الفكّ والوجه. في هذه الحالة، قد يحتاج المريض إلى جراحة مزدوجة للفكين (Bimaxillary Surgery) لتحقيق التوازن الهيكلي.
مضاعفات بروز الفكّ العلوي التي لا يجب تجاهلها
إهمال علاج الأورجت قد يؤدي إلى مشكلات تفوق التأثير الجمالي بكثير، ومن أبرزها:
مشكلات وظيفية
يؤثر بروز الفكّ العلوي على عملية المضغ بشكل كبير، مما يجعل إغلاق الفم الطبيعي ومضغ الطعام بفعالية أمرًا صعبًا.
تآكل الأسنان
الاحتكاك غير الطبيعي بين الأسنان الأمامية العلوية والسفلية قد يؤدي إلى تآكل مبكر وغير منتظم للأسنان.
اضطرابات النطق
قد يعاني المريض من صعوبات في النطق الصحيح لبعض الحروف أو التحدث بوضوح بسبب تموضع غير سليم للفكّين.
قابلية الأسنان للكسر
الأسنان البارزة تكون أكثر عرضة للكسور أو التلف عند أي صدمة.
مشكلات التنفس
عندما يتزامن بروز الفكّ العلوي مع تراجع الفكّ السفلي، فقد يضيق مجرى الهواء مما يسبب صعوبات تنفسية أو انقطاع النفس أثناء النوم (Sleep Apnea).
طرق علاج بروز الفكّ العلوي؛ من التقويم إلى الجراحة
تختلف طرق علاج الأورجت حسب شدة الحالة وما إذا كانت المشكلة هيكلية أم سنّية، وتشمل ما يلي:
العلاج غير الجراحي؛ تقويم الأسنان لتراجع الفكّ العلوي
إذا تمّ تحديد أن العلاج يمكن أن يتم دون جراحة من قبل الدكتور شهاب الدين عزيزي، فسيكون بإحدى الطريقتين:
الأطفال والمراهقون
خلال فترة النمو، يمكن باستخدام أجهزة مثل الهيدغير (Headgear) أو الأجهزة الوظيفية تنظيم نمو الفكّين وتحفيز الفكّ السفلي.
البالغون (الحالات الخفيفة)
في الحالات التي يكون فيها الخلل طفيفًا، يمكن للتقويم أن يغطّي أو يخفي النتوء من خلال تحريك الأسنان دون تغيير في عظم الفكّ نفسه.
العلاج الجذري؛ الجراحة التقويمية للفكّ (Orthognathic Surgery)
إذا كانت المشكلة هيكلية في شخص بالغ، فلن يكون التقويم كافيًا بمفرده، وتصبح الجراحة الحلّ الحاسم. تُعرف هذه الجراحة باسم الجراحة التقويمية للفكين (Orthognathic Surgery) أو الارتوسرجري (Orthosurgery) لأنها تجمع بين الجراحة والتقويم.
ولمزيد من المعلومات، يمكن الرجوع إلى صفحة الجراحة الخاصة بهذا النوع من العمليات.
الاستشارة والتشخيص مع الدكتور شهاب الدين عزيزي وخطة العلاج الفردية
في الخطوة الأولى، يقوم الدكتور عزيزي بإجراء فحص سريري وتصوير شعاعي ومسح ثلاثي الأبعاد لتحديد سبب المشكلة بدقة، مع الإجابة عن الأسئلة التالية:
- هل الفكّ العلوي فقط هو المتقدّم؟
- هل الفكّ السفلي متراجع؟
- هل كلا الفكين بحاجة إلى تعديل؟
ثم يتم إعداد خطة علاج ثلاثية الأبعاد مخصصة لكل مريض.
أسئلتكم حول علاج الأورجت
فيما يلي أكثر الأسئلة شيوعًا التي يطرحها المرضى الذين يعانون من نفس المشكلة:
هل بروز الفكّ العلوي يحتاج دائمًا إلى جراحة؟
إذا كانت المشكلة سنّية فقط أو تمّ تشخيصها في سنّ النمو، فقد يكون التقويم كافيًا. لكن في حالات البالغين ذات الخلل الهيكلي، تُعتبر الجراحة الحلّ الوحيد للحصول على نتائج دائمة ومستقرة.
ما هو العمر المناسب لجراحة الفكّ العلوي لعلاج البروز؟
تُجرى الجراحة بعد اكتمال النمو العظمي، أي بين 17–18 عامًا للفتيات و19–21 عامًا للفتيان.
ما هي مضاعفات جراحة تراجع الفكّ العلوي؟
مثل أي عملية جراحية، قد توجد مخاطر بسيطة مثل العدوى أو النزيف أو الخَدَر المؤقت في الشفة أو الذقن، وغالبًا ما تكون مؤقتة. باختيار جراح فكين متمرس مثل الدكتور شهاب الدين عزيزي والالتزام بتعليمات ما بعد الجراحة، يمكن تقليل هذه المخاطر إلى الحدّ الأدنى.
ما هو بروز الفكّ العلوي أو الأورجت؟
إنّ نجاح علاج هذه الحالة يعتمد مباشرة على تشخيص السبب بدقة وخبرة الجراح. اختيار أفضل جرّاح فكين لا يضمن فقط تصحيح الإطباق وتحسين وظائف المضغ والتنفس، بل يعيد أيضًا التناسق والجمال الطبيعي إلى وجهك. ويمنحك تخصّص الدكتور شهاب الدين عزيزي في جراحة الوجه والفكين الثقة الكاملة بأنّك في أيدٍ خبيرة ستساعدك على تصحيح هذه الحالة بأمان ونتائج طبيعية.